سیاست و بازاریابی

آخرين مطالب

نکات خواندني

شمارش معکوس برای انقراض کوسه سفید بزرگ در مدیترانه آغاز شده است

سیاست و بازاریابی - زومیت / کوسه‌های سفید بزرگ مدیترانه در آستانه انقراض کامل قرار گرفته‌اند؛ صید بی‌رویه و غیرقانونی، این شکارچیان باستانی را به مرز انقراضی خاموش کشانده است. در ...

عکس روز ناسا : تاج شفق قطبی

سیاست و بازاریابی - آخرین خبر / بیشینهٔ خورشیدی چرخهٔ ۲۵ باعث شد سال ۲۰۲۵ سال بسیار خوبی برای مشاهدهٔ شفق قطبی (شفق شمالی یا جنوبی) روی سیارهٔ زمین باشد. سطح بالای فعالیت خورشیدی ...

باتری غول‌آسای گوشی وان‌پلاس توربو ۶ رسما تأیید شد

سیاست و بازاریابی - زومیت / وان‌پلاس به‌صورت رسمی ظرفیت باتری گوشی‌های سری توربو ۶ را اعلام کرد. وان‌پلاس به‌صورت رسمی در تاریخ ۸ ژانویه (۱۸ دی) گوشی‌های Turbo ۶ و Turbo ۶V را با ...

پزشکان چینی در موردی بی‌سابقه، گوش بیمار را به پایش پیوند زدند

سیاست و بازاریابی - زومیت / در یکی از عجیب‌ترین جراحی‌های ترمیمی سال‌های اخیر پزشکان چینی گوشِ قطع‌شده زنی را به‌طور موقت به پای او پیوند زدند. در اتفاقی عجیب و کم‌سابقه در دنیای ...

گوشی تاشو بعدی سامسونگ بسیار سبک‌تر می‌شود

سیاست و بازاریابی - زومیت / سامسونگ استراتژی خود را برای تاشدنی‌های آینده تغییر می‌دهد. تمرکز دیگر بر ضخامت نیست، بلکه بر وزن و ظرفیت باتری خواهد بود. درحالی‌که هنوز منتظر رونمایی ...

کشف دیرهنگام گیاهی گوشت‌خوار در فیلیپین که با کمتر از ۵۰ نمونه در لبه انقراض است

سیاست و بازاریابی - زومیت / دانشمندان گونه‌ی جدیدی از یک گیاه گوشت‌خوار را کشف کرده‌اند که از بدو شناسایی در فهرست گونه‌های در معرض خطر انقراض قرار گرفته است. دانشمندان به‌تازگی در ...

امیدها برای ریمستر GTA ۴ با اظهارات عضو سابق راکستار نقش بر آب شد

سیاست و بازاریابی - گیم فا / در حالی که راکستار در سال‌های اخیر بسیاری از آثار کالت و کلاسیک خود را به کنسول‌های مدرن آورده است، GTA ۴ همچنان به‌طور کامل در گذشته باقی مانده است. ...

چرا تأخیر در عرضه ایکس باکس و پلی استیشن نسل بعدی به نفع گیمرها است؟

سیاست و بازاریابی - گیم فا / اگرچه تاریخ‌های عرضه ایکس باکس نسل بعدی و پلی استیشن ۶ هنوز مشخص نیست، اما اخیراً شاهد پیش‌بینی‌هایی بودیم که اشاره داشتند این کنسول‌ها شاید با تأخیر ...

سامسونگ روی باتری ۲۰ هزار میلی‌آمپرساعتی با شارژدهی ۲۷ ساعته کار می‌کند

سیاست و بازاریابی - زومیت / سامسونگ درحال آزمایش باتری غول‌پیکر ۲۰ هزار میلی‌آمپرساعتی است؛ پروژه‌ای که می‌تواند معادلات بازار را تغییر دهد اما با چالش جدی دست‌وپنجه نرم می‌کند. در ...

موسیقی حین رانندگی روی مغز شما اثر می‌گذارد؛ اما نه همیشه آن‌طور که انتظار دارید

سیاست و بازاریابی - زومیت / فکر می‌کنید موسیقی باعث می‌شود بهتر رانندگی کنید؟ پژوهشی جدید نشان می‌دهد پلی‌لیست محبوبتان ممکن است دشمن جانتان باشد؛ به‌خصوص اگر تازه‌کار هستید. برای ...

قانون جدید چین برای چت‌بات‌ها: هوش مصنوعی حق ندارد با احساسات شما بازی کند

سیاست و بازاریابی - زومیت / چین با قوانین جدید، سلامت روان کاربران در برابر هوش مصنوعی را هدف گرفته است. این مقررات سخت‌گیرانه، جهشی از امنیت محتوا به امنیت عاطفی است. در حالی که ...

گلکسی A۵۷ سامسونگ با صفحه‌نمایش چینی عرضه می‌شود

سیاست و بازاریابی - زومیت / سامسونگ برای کاهش هزینه‌ی تولید گلکسی A۵۷، ممکن است نمایشگر آن را از یک شرکت چینی تأمین کند. سامسونگ معمولاً از پنل‌های اولد خودش در لپ‌تاپ‌ها، گوشی‌ها ...

مشخصات پیورا ۹۰ لو رفت؛ گوشی پرچمدار ۲۰۲۶ هواوی

سیاست و بازاریابی - زومیت / سری پیورا ۹۰ هواوی، بار دیگر با دوربینی کارآمد و پیشرفته‌تر از راه خواهد رسید. نسل بعدی گوشی‌های پرچمدار هواوی می‌تواند عکاسی موبایل را وارد مرحله‌ی ...

۲ ویژگی مهم آیفون ۱۷ پرو به آیفون ایر ۲ می‌آیند

سیاست و بازاریابی - زومیت / اپل ظاهراً دو قابلیت کلیدی از مدل‌های گران‌تر را برای نسل جدید آیفون ایر در نظر خواهد گرفت. آیفون ۱۷ پرو با استقبال فوق‌العاده‌ای از سوی کاربران روبرو ...

چرا سیب‌زمینی و غلات نمی‌توانند جایگزین یکدیگر در رژیم غذایی سالم باشند؟

سیاست و بازاریابی - ایسنا /تحقیقات نشان داده است جایگزینی غلات با سبزیجات نشاسته‌ای باعث کاهش دریافت آهن، فولات، کلسیم و چندین ویتامین گروه B می‌شود. به نقل از دفتر بهبود تغذیه ...

ترکیب شیمیایی و خاستگاه «تیا»، سیاره‌ای که به زمین برخورد کرد و ماه را آفرید

سیاست و بازاریابی - گجت نیوز / دانشمندان در مطالعه‌ای جدید، ترکیب شیمیایی و خاستگاه تیا، سیاره‌ای که به زمین برخورد کرد و ماه را آفرید را کشف کردند. این سیاره باستانی در منظومه ...

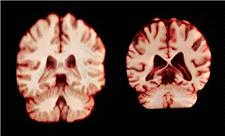
به پهلو بخوابید: مغز در شب «خودش را می‌شوید»

سیاست و بازاریابی - آخرین خبر / عصب‌شناسان تأیید کرده‌اند که وضعیت بدن هنگام خواب به طور بحرانی بر عملکرد سیستم گلیمفاتیک - مکانیزم پاکسازی مغز از سموم تأثیر می‌گذارد. خوابیدن به ...

راهکار دانشگاه انگلیسی برای مقابله با مالاریا با استفاده از پهپاد و هوش مصنوعی

سیاست و بازاریابی - ایسنا / دانشگاه آبریستویث انگلیس رهبری یک پروژه بین‌المللی ۲.۵ میلیون پوندی را بر عهده گرفته است که با تکیه بر فناوری‌های نوین، به مقابله‌ای هدفمند با بیماری ...

فرمانروای گمشده اقیانوس‌ها: کشف کوسه‌ای قدیمی‌تر از مگالودون در استرالیا

سیاست و بازاریابی - زومیت / تاکنون تصور می‌کردیم مگالودون اولین غول دریاهاست؛ اما کشف فسیل هیولایی هشت متری در استرالیا، تاریخ فرمانروایی بر اقیانوس‌ها را کاملاً تغییر داده است. ...

سال ۲۰۲۶ باید سال اتحاد جهانی برای ایمنی هوش مصنوعی باشد

سیاست و بازاریابی - ایسنا /لازم نیست غیب‌گو باشید تا بدانید که سال آینده شاهد پیشرفت‌های بیشتری در هوش مصنوعی خواهیم بود، زیرا مدل‌ها، نشریات و اختراعات به‌روز و جدید همچنان به ...

دوربین ۲۰۰ مگاپیکسلی سامسونگ به گوشی‌های چینی می‌آید

سیاست و بازاریابی - زومیت / حسگرهای ۲۰۰ مگاپیکسلی سامسونگ در دل دوربین پرچمداران چینی قرار خواهند گرفت. سامسونگ سال‌ها تنها برندی بود که حسگرهای دوربین ۲۰۰ مگاپیکسلی برای گوشی‌های ...

افزایش قیمت گوشی‌های سامسونگ قطعی به نظر می‌رسد

سیاست و بازاریابی - زومیت / موج گرانی قطعات کلیدی به سامسونگ رسید. این شرکت خود را برای افزایش قیمت محصولاتش در سطح جهانی آماده می‌کند. اگر شایعات اخیر را ملاک قرار دهیم، شاید قیمت ...

پردازنده ۶ نانومتری دیمنسیتی ۷۱۰۰ برای گوشی‌های میان‌رده معرفی شد

سیاست و بازاریابی - زومیت / مدیاتک تراشه‌ی دیمنسیتی ۷۱۰۰ را با بهبودهایی در مصرف انرژی و عملکرد برای گوشی‌های میان‌رده معرفی کرد. مدیاتک بی‌سروصدا از تراشه‌ی جدیدی در خانواده‌ی ...

جنجال گوشی جدید شیائومی؛ کیفیت ساخت زیر سؤال رفت

سیاست و بازاریابی - زومیت / شیائومی ۱۷ اولترا با دوربین لایکا طرفداران را شگفت‌زده کرد؛ اما گزارشی جدید نشان می‌دهد که همه چیز در این گوشی بی‌نقص نیست. نسخه‌ی لایکا ادیشن شیائومی ...

گوشی باریک و حرفه‌ای موتورولا دوربین زوم پریسکوپی خواهد داشت

سیاست و بازاریابی - زومیت / موتورولا با تأیید دوربین پریسکوپی در X۷۰ ایر پرو، خود را برای رقابتی جدی در بازار میان‌رده‌ها آماده می‌کند. موتورولا جزئیات بیشتری از گوشی آینده‌اش را ...

تصاویر رسمی آنر پاور ۲ لو رفت؛ شباهت بیش از حد به آیفون ۱۷ پرو

سیاست و بازاریابی - زومیت / عصر جدیدی برای گوشی‌های میان‌رده آنر در راه است. پاور ۲ با باتری ۱۰,۰۸۰ میلی‌آمپری و تراشه‌ی قدرتمند به‌زودی از راه می‌رسد. گوشی‌های جدید سری آنر وین ...

اسپیکر آیفون ۱۷ پرو مکس یک مشکل عجیب دارد

سیاست و بازاریابی - زومیت / گزارش‌هایی از بروز مشکلی جدید و عجیب در اسپیکر آیفون ۱۷ پرو به هنگام شارژ به گوش می‌رسد. بروز مشکل برای تعداد کمی از کاربران پس از عرضه‌ی مدل‌های جدید ...

ایستگاه شارژ جدید شیائومی با پورت‌های متنوع و پرسرعت معرفی شد

سیاست و بازاریابی - زومیت /شیائومی با ایستگاه شارژ ۱۴۰ واتی قدرتمندش، کاربران را از شر شارژرهای متعدد خلاص می‌کند. شیائومی از ایستگاه شارژ ۱۴۰ واتی جدیدش رونمایی کرد. این محصول با ...

یخچال روز قیامت سریع‌تر از همیشه به فروپاشی نزدیک می‌شود

سیاست و بازاریابی - زومیت / ذوب یخچال عظیم تواتس که به یخچال روز قیامت معروف است، سطح آب دریاها را به میزان چشمگیر افزایش می‌دهد و زندگی میلیون‌ها نفر را به‌خطر می‌اندازد. یخچال ...

بازی Asphalt Champions عرضه شد

سیاست و بازاریابی - گیم فا / یک بازی مسابقه‌ای پرسرعت است که هیچ‌گونه ارتباطی با مجموعه محبوب Asphalt از استودیوی Gameloft ندارد و به‌صورت کاملا مستقل توسعه پیدا می‌کند. در این ...

تأیید رسمی انقراض یک گونه؛ تنها حشره‌خوار استرالیا دیگر وجود ندارد

سیاست و بازاریابی - زومیت / پس از ۴۰ سال بی‌خبری و جستجوی بی‌حاصل، اتحادیه جهانی حفاظت از طبیعت سرانجام نام حشره‌خوار جزیره کریسمس را در فهرست «منقرض‌شده‌ها» به ثبت رساند. اتحادیه ...

وان‌پلاس ۱۱ حالا گوشی امن‌تری است

سیاست و بازاریابی - زومیت / وان‌پلاس ۱۱ با دریافت آپدیت OxygenOS جدید، میزبان قابلیت‌های کاربردی تازه‌ای در گالری، رابط کاربری و ابزارهای هوشمند شد. وان‌پلاس انتشار به‌روزرسانی ...

بازی Need For Speed Unbound به سرویس پلی استیشن پلاس خواهد آمد

سیاست و بازاریابی - گیم فا / طبق گفته‌های یکی از افشاگران شناخته‌شده، billbil-kun، اولین عنوان سرویس پلی استیشن پلاس برای ماه ژانویه ۲۰۲۶ پیش از اعلام رسمی سونی فاش شده است. بر ...

معجزه در سرزمین یخ؛ وقتی عشق مادری، خرس قطبی را به فرزندخواندگی وامی‌دارد

سیاست و بازاریابی - زومیت /دانشمندان در کانادا شاهد لحظه‌ای استثنایی بودند: خرس مادری که برخلاف غریزه معمول و در شرایط سخت قطبی، توله‌ای غریبه را به فرزندی خودش پذیرفت. همه چیز از ...

کی پیاده‌روی کنیم لاغر می‌شویم؟

سیاست و بازاریابی - خراسان / بسیاری از افراد معتقدند که تنها پیاده‌روی در ساعات عصر می‌تواند در کاهش وزن مؤثر باشد. اما تحقیقات جدید نشان می‌دهند که این باور اساس علمی ندارد. نتایج ...

شبیه‌ترین پوست رباتیک به پوست انسان ساخته شد

سیاست و بازاریابی - ایسنا / یک پوست رباتیک نورومورفیک جدید، ربات‌های انسان‌نما را قادر می‌سازد تا درد را حس کنند، آسیب را تشخیص دهند و واکنش‌های سریع نشان دهند. محققان در چین یک ...

روش جدید دانشمند ایرانی برای جذب کربن از هوای محیط

سیاست و بازاریابی - ایسنا / ترکیب جدید ابداعی زهرا اسحاقی گرجی از دانشگاه هلسینکی قادر است ۱۵۶ میلی‌گرم کربن دی‌اکسید را در هر گرم جذب کرده که با استفاده از گرمای کم آن را آزاد ...

طولانی‌ترین تاریکی قرن در راه است؛ یک خورشیدگرفتگی ۶ دقیقه‌ای

سیاست و بازاریابی - گجت نیوز /جهان برای تماشای طولانی‌ترین خورشیدگرفتگی قرن در سال ۲۰۲۷ آماده می‌شود. در این رویداد استثنایی، آسمان روز برای بیش از ۶ دقیقه در تاریکی مطلق فرو خواهد ...

چه کسی انرژی هسته‌ای را کشف کرد؟ محصول همکاری صدها دانشمند و رقابت‌های ژئوپلیتیک

سیاست و بازاریابی - گجت نیوز /کشف انرژی هسته‌ای محصول نبوغ یک نفر نیست؛ بلکه نتیجه تلاش‌های بی‌وقفه و همکاری صدها دانشمند در طول دهه‌ها است. ریشه‌های پیچیده این قدرت عظیم، زندگی ...

دوربین گلکسی S۲۶ اولترا با یک ویژگی نرم‌افزاری «حرفه‌ای‌تر» می‌شود

سیاست و بازاریابی - زومیت / سامسونگ برای دوربین گلکسی S۲۶ اولترا رویکرد جدیدی دارد و این‌بار تمرکز نه بر سخت‌افزار، بلکه بر ارتقای چشمگیر نرم‌افزاری است. افشاگری‌های اخیر نشان ...

کشف انفجار بی‌سابقه؛ آیا نخستین نشانه‌ها از «سوپر کیلونوا» در کیهان مشاهده شده است؟

سیاست و بازاریابی - زومیت /اخترشناسان با انفجاری بی‌سابقه روبه‌رو شده‌اند؛ ستاره‌ای که ظاهراً دوبار منفجر شده و نشانه‌های دو پدیدهٔ کاملاً متفاوت را هم‌زمان نشان می‌دهد. اخترشناسان ...

ساخت عضلات ربات‌های انسان‌نما با فناوری تولید کفش!

سیاست و بازاریابی - ایسنا /یک شرکت چینی با بهره‌گیری از فناوری چاپ سه‌بعدی و فناوری‌های به کار رفته در کفش‌های کتانی موفق به ایجاد عضلات برای ربات انسان‌نمای منحصر به فرد خود شد. ...

ساير مطالب

*توسعه پویا گزارش می‌دهد / بیمه دی؛ از قهرمانی ورزشکاران تا تجلیل از چهره‌های ماندگار سینما

صفحه اقتصاد گزارش می‌دهد / جهش بیمه‌های غیردرمان در بیمه دی؛ گسترش پرتفوی و تنوع‌بخشی به بازار

*اکوناپرس گزارش می‌دهد / وقتی قطع برق خانه‌ها را به خطر می‌اندازد؛ بیمه دی آماده است

طلا نیوز گزارش می دهد/صنعت بیمه در مسیر فناوری بررسی شد روایت تحول دیجیتال در بیمه دی و نقش پیشرو «دی‌دار»

«اقتصاد ملت» گزارش می‌دهد / بیمه دی حامی مطمئن و شایسته برای خانواده‌های معظم شهدا و ایثارگران

*"نشان تجارت" گزارش می‌دهد / تنوع محصولات و خدمات مشتری‌پسند، رمز موفقیت بیمه دی در صدور بیمه‌های زندگی

پیام مدیر عامل شرکت بیمه دی به مناسبت فرا رسیدن هفته دفاع مقدس

تثبیت گواهی استاندارد بین‌المللی ISO 15838 در مرکز ارتباط با مشتریان بیمه دی

به بهانه هفته دفاع مقدس اقتصاد سرآمد آنلاین بررسی کرد/ بازتاب جهاد ماندگار با نقش حمایتی بیمه دی از جانبازان و ایثارگران

دنیای پرداخت گزارش می‌دهد/ از ویزا تا ویزیت؛ پوشش درمانی بیمه دی برای مسافران

اقتصاد تهران گزارش می دهد/ عملکرد تحسین برانگیز بیمه دی در 5 ماه نخست 1404

«جهش اقتصاد» گزارش می دهد/ بیمه دی با راهبرد مشتری‌مداری و خدمات نوین، پیشتاز تحولات بیمه‌ای

توسعه پویا گزارش می دهد/ بیمه دی؛ از قهرمانی ورزشکاران تا تجلیل از چهره‌های ماندگار سینما

تقدیر از ارزیابان برتر خانه نوآوری «دی‌نو» در بیمه دی

برگزاری دوره آموزشی «تحلیل رفتار متقابل» ویژه مدیران میانی در بیمه دی

اقتصاد آرا گزارش می دهد/ بررسی محصول نوین بیمه عمر بهادار بیمه دی («زندگی بهادار») ؛ «زندگی بهادار»بیمه دی محصولی مهم در توسعه بیمه‌های خرده‌فروشی

*انتصاب سرپرست‌های جدید در معاونت‌های «توسعه بازار و امور مشتریان» و «فناوری اطلاعات و هوشمندسازی» بیمه دی

از جاری شدن اشک شوق برنده زنجانی تا باور نکردن برنده شدن شهروند ایلامی / جوایز برندگان جشنواره عید تا عید بیمه دی اهدا شد

از جاری شدن اشک شوق تا باور نکردن برنده شدن شهروند ایلامی / جوایز برندگان جشنواره عید تا عید بیمه دی اهدا شد

اختصاصی نبض اقتصاد/ با فروش 47 هزار میلیاردی؛ “ودی” باز هم بهترین صنعت بیمه شد /مرداد آتشین بیمه دی از رشد 250درصدی فروش تا صدرنشینی بیمه‌گران

فکر اقتصادی گزارش می دهد/ بیمه دی؛ آرامش جاده از خانه تا مقصد

*نخستین کارگاه آموزشی «مقدمه‌ای بر بیمه‌های انرژی» در بیمه دی برگزار شد*

مدیر عامل بیمه دی در اولین نشست با مدیران امور مشتریان 6شرکت بیمه ای مطرح کرد: شرکتهای بیمه ای، دستاوردهای موفق خود را با سایر شرکت‌ها به اشتراک بگذارند

دنیای پرداخت گزارش می دهد/ بیمه‌های گروهی و انفرادی بیمه‌های زندگی؛ راهکارهای حمایتی و تکمیلی بیمه دی برای همه افراد

فکر اقتصادی گزارش می دهد/ بیمه دی؛ آرامش جاده از خانه تا %8

جهش اقتصاد گزارش می دهد/ رکوردشکنی بیمه دی در پنج‌ماهه نخست 1404

تجلیل از چهره‌های ماندگار سینما و تلویزیون با همراهی بیمه دی

پرش خیره‌کننده بیمه دی در سال 1404؛ رشد 2 برابری پرتفوی و بهبود نسبت خسارت

اقتصاد گویا گزارش می دهد/ راهبرد دیجیتال بیمه دی تا 1406 بررسی شد/ دی‌دار؛ نماد نوآوری در تحول سبز و توسعه پایدار صنعت بیمه کشور

اکوناپرس گزارش می دهد/ بیمه دی، جاده ای هموار برای آرامش رانندگان ازخانه تا دوردست

*تقدیر معاون بنیاد شهید از خدمات دهی بیمه دی به ایثارگران / 85 درصد خدمات درمانی ایثارگران توسط بیمه دی**

سومین جشنواره ورزشی بیمه دی در اردبیل برگزار شد/ معرفی قهرمانان رشته‌های مختلف

*خانواده 1.5 میلیون نفری حمل و نقل جاده ای کشور به بیمه دی پیوست*

توسعه پویا گزارش می‌دهد؛ رشد فزاینده نیازهای درمانی ایثارگران؛ بیمه دی در خط مقدم خدمت‌رسانی سلامت

پیام مدیرعامل بیمه دی به مناسبت روز پزشک : *پزشکان متعهد با دم مسیحایی ، مصداق آیه 32 سوره مائده هستند*

رئیس کمیسیون اقتصادی مجلس در شورای مدیران بیمه دی کشور: خدمات درمانی بیمه دی یکی از شاخص های مهم جامعه ایثارگری در دریافت خدمت از حاکمیت است

تداوم رتبه نخست بیمه دی در کشور / کسب مقام اول در بین شرکت‌های بیمه‌ای درچهار ماهه اول امسال

مدیرعامل بیمه دی: آغاز فصل جدید صنعت بیمه با نقش آفرینی بیمه دی

سخنگوی دولت در جمع خبرنگاران در جزیره کیش: *بیمه دی در مسیر شفافیت، متعهد و در کنار اصحاب رسانه است*

پیام مدیرعامل بیمه دی به مناسبت روز خبرنگار

سرپرست جدید بیمه دی در استان خراسان شمالی معرفی شد

2 مدیر جدید شرکت بیمه دی در استان گیلان معرفی شدند

2 مدیر جدید شرکت بیمه دی معرفی شدند

دنیای پرداخت گزارش می دهد/ چشم‌انداز بیمه دی از عملکرد درخشان آن در مجمع عمومی سالیانه

بیمه دی و سازمان منطقه آزاد کیش، تفاهمنامه جدید همکاری امضاء کردند

*پرداخت سود نقدی سهامداران حقیقی بیمه دی تنها 8 روز پس از مجمع*

بیمه دی با عملکردی سودآور به مجمع رفت/ جهش 85 درصدی سود خالص در سال 1403

اطلس اقتصاد گزارش می دهد/ چرا بیمه تکمیلی درمان دی انتخاب اول سازمان‌ها و خانواده‌ها شده است؟

نبض اقتصاد گزارش می دهد/ اعجاز بیمه دی در تولید حق بیمه بهار404 ؛ “ودی” از شرکت های بیمه با رشد 73 درصدی فروش گذشت

دنیای پرداخت گزارش می دهد/ صدرنشینی بیمه دی در سودآوری

باشگاه بیمه گران گزارش می دهد/ رشد پرشتاب بیمه دی در بهار 1404؛ جهش 73 درصدی حق‌بیمه

*مدیرعامل بیمه دی: شهدای اخیر گلستان، نماد وحدت و همبستگی اقوام و مذاهب مختلف کشورند

رویداد اقتصاد گزارش می دهد/ بیمه‌های زندگی بیمه دی؛ تضمین آرامش امروز

نسل برنا گزارش می دهد/ باشگاه مشتریان بیمه دی؛ آغاز فصل جدیدی در تعامل، وفاداری و تحول دیجیتال

اقتصاد کلان گزارش می دهد/ بیمه‌نامه خودرو شرکت بیمه دی از پوشش‌های جامع و متنوع تا ارائه خدمات دیجیتال ، امداد خودرویی و پرداخت اقساطی

*کسب رتبه نخست صنعت بیمه، توسط بیمه دی در فصل بهار /فروش سه ماهه بیمه دی بالاتر از سایر شرکت ها*

نماینده ولی فقیه در بنیاد شهید در جمع کارکنان بیمه دی: واقعه عاشورا، ایستادگی حق علیه باطل است/ جمهوری اسلامی در طرف حقانیت است و در برابر ظلم ایستاده

حضور مدیر عامل شرکت بیمه دی در منزل شهید ذاکری؛ احسان ذاکری تمام ویژگی های یک شهید را در زمان حیاتش داشت

برپایی موکب بیمه دی برای خدمت به زائران میلیونی کاروان شهدا در تهران

اقتصاد تهران گزارش می دهد/ دی‌دار؛ سوپراپلیکیشن تحول آفرین صنعت بیمه

اقتصاد تهران گزارش می دهد/ دستاوردهای بیمه دی از نمایشگاه هفدهم؛ بیمه دی با دست پر از نمایشگاه صنعت مالی برگشت

* تمهیدات شرکت بیمه دی برای گسترش و تسهیل خدمات بیمه ای*

مدیرعامل بیمه دی در جمع خبرنگاران خبر داد؛ از فروش رکوردشکن تا خدمات هوشمند/جهش بزرگ بیمه دی در سال 1404

رونمایی از باشگاه مشتریان بیمه دی با حضور رئیس کل بیمه مرکزی/ گامی نو در هوشمندسازی خدمات بیمه‌ای

اقتصاد و تجارت گزارش می دهد/ بیمه دی بر قله صنعت بیمه و پیشتاز در تحول دیجیتال

تجارت آوا گزارش می دهد/ ارائه خدمات بهتر به بیمه‌گذاران با سرمایه‌گذاری‌های مناسب بیمه دی

صفحه اقتصاد گزارش می دهد/ مدیریت بیماری با بیمه درمان تکمیلی بیمه دی

گزارش ویدیویی تجمیعی از حضور شرکت بیمه دی در اولین نمایشگاه بورس، بانک و بیمه در مشهد مقدس

باشگاه بیمه گران گزارش می دهد/ حق بیمه تولیدی بیمه دی از 33 همت گذشت

تجارت گردان گزارش می دهد/ درخشش بیمه دی در پرداخت به‌روز مطالبات درمانی ایثارگران و مشتریان

در نهمین اجلاس سراسری رضایتمندی مشتری با رویکرد اعطا نشان ملی اعتماد مشتریان؛ تندیس زرین همایش به بیمه دی رسید

معرفی قابلیت‌های جدید وب‌اپلیکیشن دِی‌دار

گزارش ویدئویی/ حضور بیمه دی در روز سوم نمایشگاه بانک بورس بیمه مشهد

گزارش ویدئویی/ روز دوم نمایشگاه بورس، بانک و بیمه مشهد

گزارش ویدیویی/ حضور مدیرعامل بیمه دی در اولین نمایشگاه بورس ، بانک و بیمه مشهد

گزارش ویدئویی/ نشست مدیرعامل شرکت بیمه دی با کارکنان شعب و نمایندگان بیمه دی در خراسان رضوی

بازدید مدیران ارشد اقتصادی از غرفه بیمه دی در نمایشگاه اینوکس مشهد

همایش آموزشی تخصصی نمایندگی‌های فروش شمال غرب بیمه دی در تبریز برگزار شد

پایگاه خبری "خبرداری" گزارش می دهد/ عبداللهی بر نقش کلیدی نمایندگان در تحقق اهداف راهبردی شرکت بیمه تاکید کرد دیجیتال برای تقویت شبکه فروش بیمه دی نه رقیب یا باعث اخراج

پایگاه خبری "خبرداری" گزارش می دهد/ کسب رتبه اول توانگری و پرداخت به‌روز مطالبات درمانی نشان می دهد تحقق خواسته های خانواده شهدا و ایثارگران به همت بیمه دی

پایگاه خبری "خبرداری" گزارش می دهد/ در قالب سیاستگذاری های کلان صورت می گیرد حرکت بیمه دی بر ریل ولایتمداری و رضایتمندی

ارائه تخفیف بیمه آتش‌سوزی به بازدیدکنندگان غرفه بیمه دی در نمایشگاه مشهد

دیوان اقتصاد گزارش می دهد/ بیمه دی حامی سرمایه‌گذاری برای تولید با کمترین ریسک در سال 1404

باشگاه بیمه گران گزارش می دهد/ مدیرعامل بیمه دی: روابط عمومی بیمه باید پلی فیمابین بیمه‌گران و بیمه‌گذاران باشد

گزارش تحلیلی فکر اقتصادی/ بیمه دی حامی سرمایه گذاری برای تولید با کمترین ریسک در سال 1404

گزارش تحلیلی طلانیوز/ درخشش بیمه دی در ارزیابی‌ها؛ هوشمندسازی، موتور محرک تحول در صنعت بیمه

حضور شرکت بیمه دی در نمایشگاه بین المللی بورس، بانک و بیمه مشهد

مدیرعامل بیمه دی: روابط عمومی حرفه‌ای، بازوی ارزش‌آفرین و مشاور امین مدیران است / جایگاه شرکت با وجود روابط عمومی پویا ارتقا می‌یابد

عبداللهی در مراسم تجلیل از نمایندگان فروش برتر: بیمه دی در آستانه رکوردهای جدید/نمایندگان، نیروی محرکه تحول در بیمه

«اتاق فرار هوش سیاه»؛ تجربه‌ای متفاوت از آموزش در بیمه دی

اقدامات بیمه دی برای جبران خسارت حادثه بندر شهید رجائی

پرداخت خسارت بیمه دی به خودروهای آسیب دیده در بندر شهید رجائی

شتاب بیمه دی در مسیر هوشمندسازی و ارتقاء خدمات پس از فروش

نخستین شماره دی‌نما (مجله تصویری بیمه دی)

مدیر یادگیری و توسعه استعداد: پنج فرایند مدیریت دانش در بیمه دی دنبال می شود

برگزاری همایش آموزشی بیمه دی با هدف توسعه دانش فنی شبکه فروش شرق کشور

مدیرعامل بیمه دی: بیمه هوشمند با کارکنان خلاق و با دانش، محقق می شود

معاون رییس جمهور: بیمه دی رتبه اول درمان کشور را کسب کرد

آمادگی شرکت بیمه دی برای پرداخت خسارت به بیمه گزاران بندر شهید رجایی/ بررسی و پرداخت خسارت در کمتر از 48 ساعت

مدیرعامل بیمه دی در پیامی حادثه بندر شهید رجایی را تسلیت گفت/ ما با تمام امکانات، متعهدانه در کنار حادثه‌دیدگان و خانواده‌های ایشان هستیم