سیاست و بازاریابی

آخرين مطالب

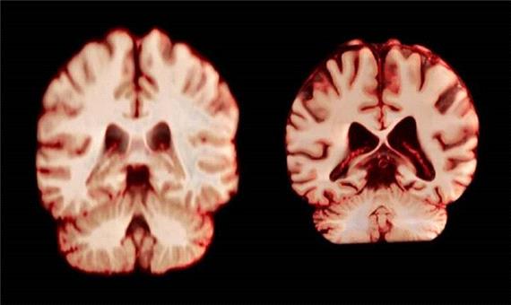
مغز مردان سریع‌تر از زنان کوچک می‌شود نکات خواندني

مغز مردان سریع‌تر از زنان کوچک می‌شود
  بزرگنمايي:

سیاست و بازاریابی - ایسنا / مغز زنان کُندتر پیر می‌شود، اما به نظر نمی‌رسد که این موضوع آنها را از ابتلا به نوع شایع زوال عقل محافظت کند.
بر اساس یک مطالعه طولی که امروز در مجموعه مقالات آکادمی ملی علوم منتشر شد، در طول پیری، مردان در مقایسه با زنان، کاهش حجم بیشتری را در مناطق بیشتری از مغز تجربه می‌کنند. نویسندگان معتقدند این بدان معناست که تغییرات مغزی مرتبط با سن توضیح نمی‌دهد که چرا زنان بیشتر از مردان به بیماری آلزایمر مبتلا می‌شوند.
بازار
به نقل از نیچر، فیونا کامفور، متخصص روانشناسی بالینی در دانشگاه سیدنی استرالیا، می‌گوید: واقعا مهم است که بفهمیم در مغز سالم چه اتفاقی می‌افتد تا بتوانیم بهتر بفهمیم وقتی افراد به این بیماری‌های عصبی مبتلا می‌شوند، چه اتفاقی می‌افتد. او می‌افزاید: این مطالعه به درک دانشمندان از پیری معمول مغز می‌افزاید.
زنان تقریبا دو برابر مردان به بیماری آلزایمر مبتلا می‌شوند و پیری بزرگترین عامل خطر برای این بیماری است. این موضوع باعث شده است که تحقیقاتی در مورد تفاوت‌های جنسیتی مرتبط با سن در مغز انجام شود. آن راوندال، دانشجوی دکترا در دانشگاه اسلو و یکی از نویسندگان این مقاله، می‌گوید: اگر مغز زنان بیشتر تحلیل رفته باشد، این می‌تواند به توضیح شیوع بالاتر آلزایمر در آنها کمک کند.
راوندال اضافه می‌کند که تحقیقات قبلی که تفاوت‌های جنسیتی در پیری مغز را بررسی می‌کردند، نتایج متفاوتی را نشان داده‌اند. چندین مطالعه نشان داده‌اند که مردان در مقایسه با زنان، کاهش بیشتری در کل ماده خاکستری و اندازه هیپوکامپ را تجربه می‌کنند، در حالی که سایر تحقیقات، کاهش شدیدتر ماده خاکستری در زنان را گزارش کرده‌اند.
اسکن مغز
جدیدترین مطالعه شامل بیش از 12 هزار و 500 اسکن مغزی تصویربرداری تشدید مغناطیسی (MRI) از 4726 نفر بود که حداقل دو اسکن برای هر نفر، با فاصله متوسط ‌سه سال انجام شده بود که به بیماری آلزایمر یا هرگونه اختلال شناختی مبتلا نبودند و به عنوان شرکت‌کننده کنترل در 14 مجموعه داده بزرگتر قرار داشتند. محققان با بررسی عواملی از جمله ضخامت ماده خاکستری و اندازه نواحی مرتبط با بیماری آلزایمر، مانند هیپوکامپ که برای حافظه ضروری است، نحوه تغییر ساختار مغز افراد را در طول زمان مقایسه کردند.
به طور کلی، مردان در مقایسه با زنان، کاهش حجم بیشتری را در مناطق بیشتری از مغز تجربه کردند. به عنوان مثال، قشر پس مرکزی که مسئول پردازش احساسات لامسه، درد و دما و همچنین موقعیت و حرکات بدن است، در مردان سالانه 2.0 درصد و در زنان سالانه 1.2 درصد کاهش یافت.
کامفور می‌گوید نتایج نشان می‌دهد که مردان سریع‌تر از زنان پیر می‌شوند. همچنین امید به زندگی در مردان کمتر است.
ایمی برادتمن، محقق بالینی در حوزه سلامت شناختی در دانشگاه موناش در ملبورن استرالیا، می‌گوید اگر این تغییرات نقشی در ابتلا به بیماری آلزایمر داشتند، این مطالعه نشان می‌داد که زنان در نواحی مرتبط با این بیماری، مانند هیپوکامپ که در حافظه نقش دارند، کاهش بیشتری را تجربه می‌کنند.
راوندال می‌گوید نتایج به توضیحات احتمالی دیگری برای تفاوت‌های جنسیتی در شیوع بیماری آلزایمر، مانند تفاوت در بقا یا آسیب‌پذیری در برابر بیماری اشاره دارد.
کامفور می‌گوید اینکه به نظر نمی‌رسد تفاوت‌های جنسیتی در حجم مغز نقشی در این بیماری داشته باشد، کاملا تعجب‌آور نیست، زیرا بیماری‌های زوال عصبی پیچیده هستند. درک این اختلالات نیازمند مطالعات طولی شامل افراد مبتلا به آلزایمر است تا نحوه تغییر مغز آنها در طول زمان مقایسه شود. او می‌افزاید: بعید است که صرفا نگاه کردن به تغییرات مرتبط با سن در آتروفی مغز، پیچیدگی‌های پشت آن را توضیح دهد.
بیماری پیچیده
برودتمن می‌گوید اگرچه این مطالعه قوی است، اما تحقیقات بیشتر با مجموعه داده‌های متنوع‌تری مورد نیاز است. به عنوان مثال، افرادی که در این مطالعه شرکت داشتند، سطح تحصیلات بالایی داشتند که یک عامل محافظتی در برابر بیماری آلزایمر است، ‌ به این معنی که آنها به طور کامل نماینده جمعیت عمومی نبودند. مجموعه داده‌ها همچنین فاقد اطلاعاتی در مورد سایر عواملی بود که بر خطر ابتلا به بیماری آلزایمر در فرد تأثیر می‌گذارند، مانند قومیت و سنی که زنان یائسگی را تجربه می‌کنند.
نویسندگان می‌گویند وقتی تحلیل خود را بر اساس سطح تحصیلات تنظیم کردند، برخی از بخش‌های مغز مردان دیگر کاهش سریع‌تری نسبت به زنان نشان ندادند. وقتی آنها مردان و زنانی را که پیش‌بینی می‌شد به مدت یکسانی زندگی کنند، به جای مردان همسن، مقایسه کردند، حجم مغز دو گروه با نرخ‌های مشابهی کاهش یافت.

لینک کوتاه:
https://www.siasatvabazaryabi.ir/Fa/News/786000/

نظرات شما

ارسال دیدگاه

Protected by FormShield
مخاطبان عزیز به اطلاع می رساند: از این پس با های لایت کردن هر واژه ای در متن خبر می توانید از امکان جستجوی آن عبارت یا واژه در ویکی پدیا و نیز آرشیو این پایگاه بهره مند شوید. این امکان برای اولین بار در پایگاه های خبری - تحلیلی گروه رسانه ای آریا برای مخاطبان عزیز ارائه می شود. امیدواریم این تحول نو در جهت دانش افزایی خوانندگان مفید باشد.

ساير مطالب

نقشه بازی جی تی ای 6 بسیار بزرگ‌تر از تصورات ما خواهد بود

تقویت همکاری‌های علمی ایران و چین در حوزه زمین‌شناسی

چرا لنز دوربین گرد است، اما عکس‌ها مستطیل؟

درمان جدید آلزایمر روی موش‌ها موفق بود

مشخصات میت 80 پرو پلاس لو رفت؛ گوشی قدرتمند هواوی

فانوسی که مانند یک موجود زنده حرکت می‌کند!

برنامه «ایمپالس اسپیس» برای ارسال 6 تن بار به ماه

طرفداران ویندوز آماده باشند؛ پنج‌شنبه «خبر بزرگی» اعلام می‌شود

داریا باند 3 در سال 2026 وارد بازار می‌شود؛ عرضه در دو مدل

کلاه ایمنی واقعیت مجازی برای تبدیل سربازان به جنگجویان هوش مصنوعی

مراسم بزرگ سامسونگ تأیید شد: رونمایی کامپیوتر چشمی رقیب ویژن پرو

هوش مصنوعی اثبات قصور پزشکی را دشوار می‌کند

اپل غیرمستقیم تأیید کرد: مک‌بوک پرو M5 به‌زودی رونمایی می‌شود

مرگ مرجان‌ها، زنگ خطری جدی برای زمین

کامپیوتر قدرتمند جدید لنوو با گرافیک RTX 5060 و تراشه اینتل معرفی شد

چرخش تلسکوپ «رصدخانه ورا روبین» را تماشا کنید

این 6 گوشی شیائومی قبل از بقیه به HyperOS 3 آپدیت می‌شوند

شیوع بالای انگل‌های دهانی در بیماران دیابتی

شیائومی رهبر بازار مچ‌بندهای هوشمند شد

دانش‌آموزان با فناوری‌های روز مسائل را حل می‌کنند

اپل سال آینده 2 آیفون تیتانیومی عرضه می‌کند

مغز مردان سریع‌تر از زنان کوچک می‌شود

چه کار کنیم گوشی آیفون کمتر شارژ مصرف کند؟

روده با سالم‌خوری موقت فریب نمی‌خورد

تریلر جدیدی از بازی اکشن هندی Unleash the Avatar منتشر شد

کاشفان گمنام؛ چه کسانی واقعاً قاره آمریکا را کشف کردند؟

گوشی ردمی K90 پرو بار دیگر رؤیت شد و حالا رونمایی نزدیک است

کسوف و سکوت طبیعت: خورشیدگرفتگی کلی آمریکا راز حساسیت پرندگان به نور را فاش کرد

دل پرو مکس عرضه شد؛ کامپیوتر قدرتمند و بسیار کوچک

دانشمندان خون انسان را در آزمایشگاه ساختند

هدست PSVR 2 می‌توانست فیلم‌های سه‌بعدی را نجات دهد، اما سونی فرصت را از دست داد

90 موسسه ایرانی در سیاهۀ مؤسسه‌های تأثیرگذار جهان

تیزر رسمی Server Slam بازی ARC Raiders منتشر شد

مدیرعامل بیمه دی در آئین گشایش همایش شهر پایدار؛ صنعت بیمه، کلید اعتماد در پروژه‌های سبز و پایدار است

24 ماهواره جدید «آمازون» به مدار زمین رفتند

بزرگ‌ترین آیفون تاریخ احتمالا «ارزان‌تر از انتظارات» خواهد بود

برگزاری مانور سونامی 2025 اقیانوس هند در روستای بَحل شهرستان جاسک

با انتشار تریلری از زمان عرضه بازی Of Ash and Steel رونمایی شد

مؤسسه رازی به تعهدات خود در تولید واکسن‌ عمل کرده است

رئیس سابق پلی استیشن از بزرگترین حسرت خود می‌‌گوید

نوآوری ایرانی در تولید کک سوزنی با استفاده از پسماندهای نفتی

هیدئو کوجیما با هیدئو کوجیما دیدار کرد

ارائه نخستین مدل بومی طراحی محصولات فیزیکی فناورانه برای بهبود کیفیت زندگی سالمندان

این ساعت هوشمند مکان‌یاب داخلی دارد و به فلاش LED مجهز است

با نخستین برنامه‌نویس جهان آشنا شوید

قیمت گوشی امروز 22 مهر؛ ثبات قیمتی چند روزه همچنان ادامه دارد

کاهش وزن بدون عوارض جانبی با داروی جدید چاقی

ویوو پد 5e رونمایی شد؛ تبلت جذاب با باتری غول‌آسا

کاهش 18 درصدی مهاجرت نخبگان در دانشگاه‌های برتر

دارک مود ویندوز 11 یک آپدیت بزرگ دریافت می‌کند