سیاست و بازاریابی

آخرين مطالب

امکان افزایش دقت نمایش عروق کرونری قلب با روش‌های مبتنی بر هوش مصنوعی اخبار

امکان افزایش دقت نمایش عروق کرونری قلب با روش‌های مبتنی بر هوش مصنوعی
  بزرگنمايي:

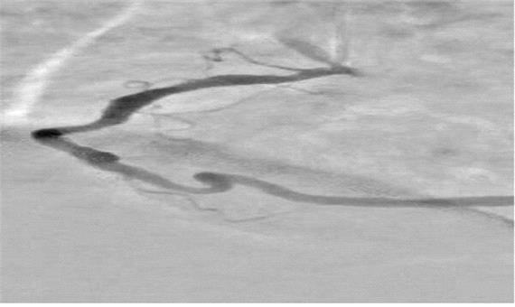
سیاست و بازاریابی - گروهی از پژوهشگران دانشگاه صنعتی امیرکبیر راهکاری مبتنی بر یادگیری ماشین و هوش مصنوعی برای افزایش دقت در نمایش عروق کرونری قلب ارائه کردند.

به گزارش خبرگزاری مهر به نقل از دانشگاه صنعتی امیرکبیر، فاطمه آخوندی دانش آموخته دانشکده مهندسی پزشکی دانشگاه با هدایت و راهبری دکتر فرشاد الماس گنج عضو هیئت علمی دانشگاه طرح پژوهشی را با عنوان "حذف پس‌زمینه‌ تصاویر آنژیوگرافی با استفاده از یادگیری عمیق" را اجرایی کردند.
آخوندی با اشاره به دلایل انتخاب این تحقیق، توضیح داد: در آنژیوگرافی قلب، تداخل سایه‌های ناشی از بافت‌ها و استخوان‌های قفسه سینه و همچنین حرکات تنفسی و ضربان قلب باعث می‌شود تشخیص دقیق عروق کرونری دشوار شود. این مسئله منجر به نیاز به تزریق بیشتر ماده حاجب و دریافت دوز بالاتر اشعه توسط بیمار می‌شود.
وی افزود: از این رو هدف این تحقیق رفع این مشکل و ارائه روشی دقیق‌تر و ایمن‌تر برای بهبود کیفیت تشخیص گرفتگی‌ها توسط پزشک متخصص بوده است.
این دانش آموخته دانشگاه صنعتی امیرکبیر با تاکید بر اینکه نتایج این تحقیق موجب بهبود وضوح تصاویر و افزایش دقت در نمایش عروق کرونری قلب شده است، اظهار کرد: این تحقیق به طور ویژه در جهت ارتقای فناوری پردازش تصویر پزشکی و بومی‌سازی روش‌های نوین شبکه‌های عصبی گامی مؤثر برداشته است؛ چرا که این طرح با کاهش زمان پردازش و افزایش دقت، نسبت به سایر الگوریتم‌های سنتی امکان بهره‌برادری بهتر در حوزه‌های کاربردی را فراهم می‌سازد.
آخوندی با بیان اینکه فاز اول این تحقیق از تحلیل ایرادات و روش‌های موجود و بررسی مقالات آغاز شد، ادامه داد: سپس دو مدل مبتنی بر شبکه‌های عصبی طراحی و پیاده‌سازی شد. در روش نخست از شبکه‌ SpyNet بهبودیافته برای آشکار سازی حرکت و از Deep-Fillv۲ برای بازسازی نواحی حذف‌شده استفاده شد. در روش دوم نیز از یک معماری ترکیبی خود رمزگذار عمیق بهره گرفته شد تا اطلاعات پس‌زمینه از تصاویر قبل از تزریق ماده حاجب استخراج و برای بازسازی نواحی حاوی ماده‌ی حاجب استفاده شود.
به گفته وی در پایان، نسخه‌ بهبودیافته‌ مدل دوم ارائه و با روش‌های استاندارد مقایسه شد.
وی کمبود داده را از چالش‌های این طرح نام برد و یادآور شد: علاوه براین تعلیم شبکه‌های عصبی عمیق نیازمند زمان و سیستم‌های بسیار قوی با کارت گرافیک قوی بود. تا حد امکان توانستیم براین مشکلات غلبه کنیم.
به گفته این محقق، نتایج این پژوهش می‌تواند در صنعت تجهیزات و نرم‌افزارهای پزشکی، تحلیل تصویر و سیستم‌های کمک‌ تشخیصی مبتنی بر هوش مصنوعی استفاده شود اما از سوی دیگر به علت وارداتی بودن اکثر دستگاه‌ها، امکان اضافه کردن این نرم افزار به کل سیستم کار آسانی نیست و در حال حاضر به صورت کمکی می‌تواند به تشخیص پزشک در کنار دستگاه کمک کند.
آخوندی انتشار دو مقاله را از دیگر دستاوردهای این پایان نامه دانست و اضافه کرد: اولین مقاله در مجله‌ بین المللی با رده‌ی Q۱ چاپ شده‌ و دومین مقاله در مجله‌ ایرانی زیست پزشکی به چاپ رسیده‌است.
وی بخش نوآورانه طرح را شامل استفاده از شبکه‌ خودرمزگذار هدایت‌شده برای بازسازی پس‌زمینه تصاویر حاوی ماده‌ حاجب از تصاویر بدون ماده حاجب ذکر کرد و افزود: همچنین در طراحی شبکه‌های عصبی عمیق متناسب بودن با تصاویر آنژیوگرافی به‌علت مقیاس خاکستری آنها و ظرافت عروق در طراحی لحاظ شده‌است.
آخوندی ویژگی‌های این طرح را شامل افزایش وضوح عروق کرونری در تصاویر آنژیوگرافی، کاهش نیاز به تزریق مقدار زیاد ماده حاجب و در نتیجه کاهش خطرات مرتبط با آن برای بیمار دانست و افزود: همچنین نسبت به روش‌های سنتی، زمان پردازش تصاویر را به طور قابل توجهی کاهش می‌دهد و می‌تواند حتی با در اختیار داشتن یک تصویر تکی حاوی ماده حاجب نیز عمل اصلاح و پردازش را انجام دهد. در نهایت، بهره‌گیری از فناوری شبکه‌های عصبی عمیق، امکان استخراج و بازسازی هوشمند پس‌زمینه و جداسازی بهتر عروق را فراهم می‌کند و طرح را از نظر علمی و کاربردی در سطح روش‌های نوین پردازش تصویر پزشکی قرار می‌دهد.
وی تاکید کرد: نمونه‌های خارجی مانند روش‌های مبتنی بر RPCA یا MAMR وجود دارند، اما روش حاضر بومی بوده و عملکرد سریع‌تری دارد. در این طرح با حذف نیاز به تصاویر چندزمانه، دوز اشعه دریافت‌ شده توسط بیمار کاهش یافته و فرآیند تصویربرداری ساده‌تر و ایمن‌تر شده است. این روش به دلیل تکیه بر الگوریتم‌های پیشرفته و یادگیری عمیق، پردازش تصاویر را سریع‌تر و به صورت خودکار انجام می‌دهد و در عین حال دقت بالاتری در تفکیک عروق و پس‌زمینه ارائه می‌کند.

لینک کوتاه:
https://www.siasatvabazaryabi.ir/Fa/News/789645/

نظرات شما

ارسال دیدگاه

Protected by FormShield
مخاطبان عزیز به اطلاع می رساند: از این پس با های لایت کردن هر واژه ای در متن خبر می توانید از امکان جستجوی آن عبارت یا واژه در ویکی پدیا و نیز آرشیو این پایگاه بهره مند شوید. این امکان برای اولین بار در پایگاه های خبری - تحلیلی گروه رسانه ای آریا برای مخاطبان عزیز ارائه می شود. امیدواریم این تحول نو در جهت دانش افزایی خوانندگان مفید باشد.

ساير مطالب

چین در صحرا لاستیک می‌کارد!

طراح ارشد Skyrim: بازی Mass Effect بعدی می‌تواند مانند آثار بتسدا باشد

تبدیل فیلتر سیگار به ماده‌ای برای ذخیره انرژی!

چتر خودکار بالای سر پرواز می‌کند

آپدیت One UI 8.5، زوم یکی از گوشی‌های محبوب سامسونگ را تقویت می‌کند

کم‌خوابی به شکل فیزیکی به سلول‌های مغز آسیب می‌رساند

امکان افزایش دقت نمایش عروق کرونری قلب با روش‌های مبتنی بر هوش مصنوعی

آیفون 18 با تأخیر عرضه می‌شود؟

ایران پیشتاز جهان اسلام در فناوری‌های ژنتیکی و مولکولی

طرفداران یک اشاره به GTA 6 در بازی Red Dead Redemption 2 پیدا کردند

اسپیس ایکس ماهواره‌های خورشیدی به فضا می‌فرستد

حمایت معاونت علمی از تولید بار اول سه ماهواره ملی

از صمغ‌های گیاهی تا نانوسلولز؛ زیست‌پلیمرها چگونه درمان زخم را متحول می‌کنند؟

فناوری هوشمند ایرانی برای مدیریت رواناب و امنیت آب شهری

نینتندو و سازنده Dispatch به خاطر سانسور بازی بیانیه صادر کردند

ترکیب MOF، مایع یونی و نانوالیاف برای ساخت نسل جدید کاتالیست‌های تصفیه پساب

استقبال سرد گیمر‌ها از بازی Code Vein 2 به دلیل بهینه‌سازی ضعیف

تولید دستگاه شوک خودکار قلبی با کیفیت جهانی به همت محققان ایرانی

خطری که دود سیگارهای الکترونیکی برای ریه دارد

کنسول دستی جدید پلی استیشن امسال عرضه می‌شود

امگا 3 واقعاً حال‌وهوایتان را بهتر می‌کند؟

فروپاشی نگران‌کننده یک ماهواره روسی در فضا

آیفون 17 پرو به تشخیص آفساید در فوتبال کمک می‌کند!

کنترلر جدید سونی برای PS6 ممکن است دکمه نداشته باشد

بیمار بی ریه 48 ساعت زنده ماند

برنامه توانمندسازی استانی در ثبت اختراعات خارجی آغاز شد

نخستین استفاده یک مریخ‌نورد از هوش مصنوعی

کشف قدیمی‌ترین هنر صخره‌ای دنیا؛ اثر 67 هزار ساله انسان خردمند در اندونزی

کونامی در کنار Silent Hill 1 Remake یک بازی کاملاً جدید از این سری خواهد ساخت

هوش مصنوعی روی مریخ رانندگی کرد

ساخت قلب توربوکمپرسورهای دریایی در داخل کشور

استقبال از پیشنهادات ایران در مجمع آسیایی فناوری نانو

پژوهش درباره نسل جدید پانسمان‌ها؛ درمان زخم‌های عفونی متحول می‌شود

گام بزرگ در پایش آلاینده‌های نیروگاهی؛ «آنالایزر گاز» وارد مدار شد

چرا ستاره‌ سبز وجود ندارد؟

سالید اسنیک به Rainbow Six Siege خواهد آمد

استفاده متفاوت از هوش مصنوعی: گرمایش دانشگاه دوبلین

نظارت دقیق CD Projekt Red بر Reigns: The Witcher؛ ایده ویچرهای زامبی رد شد

کمک حباب‌ها به سرطان برای حمله و توقف!

فضانوردان در طول بازگشت از ایستگاه فضایی چه میزان شتاب را تجربه می‌کنند؟

یادگیری مکالمه انگلیسی از صفر؛ شروعی ساده با چند جلسه کاملاً رایگان

کارگردان Cyberpunk 2: منتظر کات‌سین‌های سینمایی در بازی نباشید

باتری سبز از دل پسماندها؛ دستاورد یک طرح پسادکتری ایرانی

اختلالات روانی مشترک در ژن‌های یکسان

چهار تیپ شخصیتی کاربران ChatGPT

اگر نگران مغزتان هستید این کار ساده را در اولویت قرار دهید

رطوبت اتمسفر مریخ آب فضانوردان را تامین می‌کند

چرا احساس می‌کنی به یک آغوش نیاز داری؟

اکوناپرس گزارش می دهد؛ بیمه درمان؛ موتور اصلی پرتفوی بیمه دی

گزارش «آرمان ملی آنلاین» همزمان با برگزاری جشنواره دی تا دی/گامی استراتژیک برای تثبیت جایگاه بیمه دی